[첨단 헬로티]
인공지능 의료영상 분석 기업으로는 국내 최초이며, 의료 3D프린팅 SW 분야 세계 세번째
메디컬아이피는 자사가 개발한 인공지능 의료영상 분석 솔루션 'MEDIP'이 미국 식품의약국(FDA) Class II 인증을 획득했다고 밝혔다.

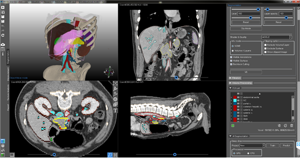
▲인공지능 의료영상 분석 SW, MEDIP
이는 인공지능 의료영상 분석 기업으로는 국내 최초이며, 의료용 3D프린팅 SW 분야에서는 벨기에의 Materialize와 미국의 3D Systems 다음으로 세계 세번째로 획득한 인증이다.
인증을 획득한 메디컬아이피는 CT, MRI 등 환자의 의료영상을 기계학습과 딥러닝 기술을 통해 실시간으로 분할·분석해 의료진의 판독과 진료, 수술 계획 수립 등에 도움을 주는 인공지능 의료영상 분석 소프트웨어다.
의료진은 이를 통해 환자의 상태를 보다 빠르고 정확하게 파악할 수 있고, 이를 활용해 환자의 실제 장기를 3D프린팅으로 출력해 가상 수술 시물레이션과 수술 계획 등에 활용할 수 있다.
박상준 대표는 “메디컬아이피의 기술력이 응집된 대표적 소프트웨어인 MEDIP이 미국 식품의약국(FDA)의 승인을 받은 것은 제품의 성능과 효과, 안정성 등이 세계 수준의 기준을 충족했다는 의미다"고 말했다.
이어 그는 "CT·MR·X-ray 등의 모든 의료영상을 CAD·CAM할 수 있는 국내 기술력을 확보함과 동시에 생명을 살리는 기술을 개발하는 회사의 미션과도 부합되었다는 데 더 큰 의의가 있다”고 밝혔다.
FAD 인증으로 기술력과 품질을 입증한 메디컬아이피는 이를 계기로 북미시장 공략에 박차를 가한다는 전략이다. 서울대학교병원벤처 출신인 메디컬아이피는 이미 수많은 증례와 연구로 북미 시장 공략에 필요한 레퍼런스도 충분히 확보한 것으로 보고 있다.
특히 메디컬아이피는 오는 12월에 시카고에서 진행되는 북미영상의학회(RSNA)에 참가해 회사가 최근 개발한 X-ray 분할 신기술과 체성분 분석 기술을 동시에 발표할 계획으로, 이를 통해 미국 및 세계 시장 공략의 기틀을 다진다는 계획이다.
또한, 국내 인증과 FDA 인증을 모두 완료한 만큼 2020년 상반기 중 유럽 CE 의료기기 인증도 완료할 계획이다. 메디컬아이피는 이미 2017년 MEDIP 국내 식약처 2등급 허가를 완료했으며, GS 1등급을 획득하는 등 국내의 인허가 절차도 완료했다.





